- Лучевая диагностика
- Стоматология
- Терапия. Пульмонология
- Акушерство и гинекология
- Наркология
- Неврология
- Онкология
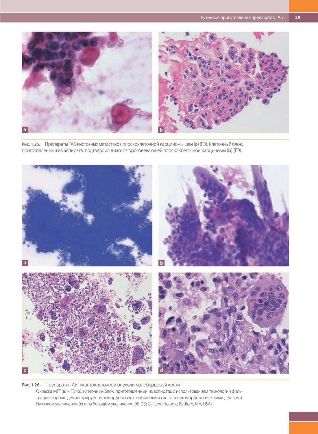
- Хирургия. Ортопедия
- Кардиология
- Инфекционные болезни
- Кожные и венерические болезни
- Сестринское дело
- Педиатрия
- Гастроэнтерология
- ЛОР. Оториноларингология
- Офтальмология
- Урология
- Сексология
- Психиатрия. Психотерапия
- Эндокринология
- Другое
- Судебная медицина
- Управление в медицине
- Гигиена
- Спортивная медицина
Тонкоигольная аспирационная биопсия. Цитологический атлас (Домански Х. А., Акерман Манс, Домански Анна); Ballantine Books, 2022
3250
Издатель: Практическая медицина
ISBN: 978-5-98811-677-6
EAN: 9785988116776
Книги: Другие отрасли медицины
ID: 8804357
Добавлено: 21.12.2021
Описание
Тонкоигольная аспирационная биопсия - сложный раздел цитологической диагностики, требующий слаженной последовательной командной работы. Настоящее издание вмещает информацию о значении каждого из этапов этого исследования: особенности получения материала и пробоподготовки, сведения о преаналитическом этапе работы с цитологическим материалом, возможностях проведения ТАБ с использованием современных визуализирующих методов диагностики. Книга дает панорамное представление о цитологической диагностике опухолевой и неопухолевой патологии различных органов и тка ней у взрослых и де тей. Отражены современные подходы в интерпретации биопсийного материала анатомических облас тей, вызывающих наибольшие сложности: опухоли головы и шеи, молочной железы, кожи, кос тей, мягких тка ней и внутренних органов. Уникальными представляются главы, посвященные патологии паращитовидных желез, глазницы и придатков глаза, селезенки. Детально изложены особенности интерпретации материала, полученного при ТАБ лимфатических узлов. Отдельные нозологии или их группы рассматриваются с позиций ключевых признаков, дифференциального диагноза и роли дополнительных методов для постановки диагноза. В каждом разделе представлены как типичные, так и редкие нозологии, а богатый иллюстративный материал сопровождается детальным описанием.
Смотри также о книге.
СкидкаГИД инфо +
Сервис сравнения цен СкидкаГИД предлагает сравнить цены на товар «Книга: Тонкоигольная аспирационная биопсия. Цитологический атлас (Домански Х. А., Акерман Манс, Домански Анна); Ballantine Books, 2022»
По данным нашего сервиса товар предлагался к продаже в 6 магазинах. На сегодняшний день доступен в 1 магазине: ЛитРес. По цене от 3250 р. до 3250 р. В случае, если для вас на данный момент цена слишком высока, вы можете воспользоваться сервисом «Сообщить о снижении цены» - мы оповестим вас как только цена опустится до желаемого значения. Но будьте внимательны, используя сервис «История цены» можно спрогнозировать в какую сторону изменяется цена, возможно сейчас самое время для покупки.
Кроме сервиса сравнеция цен, наш сайт также позволяет экономить еще двумя способами: промокодный сервис (информация о промокодах, а также скидки и акции на товары), а также собственный кэшбэк сервис. Купить с кешбеком можно в следующих магазинах: ЛитРес. А информация о промокодах доступна рядом с ценой от магазина и постоянно обновляется.
О книге
| Параметр | Значение |
|---|---|
| ISBN | 978-5-98811-677-6 |
| Автор(ы) | Домански Х. А., Акерман Манс, Домански Анна |
| Автор | Под ред. Домански Х.А. |
| Вес | 2.43кг |
| Возрастное ограничение | 16+ |
| Возрастные ограничения | 12 |
| Год издания | 2022 |
| Жанр | специальная медицина |
| Издатель | Ballantine Books |
| Издательство | Практическая медицина |
| Кол-во страниц | 638 |
| Количество страниц | 740 |
| Обложка | твердый переплёт |
| Переплет | Твёрдый переплёт |
| Переплёт | твердый |
| Раздел | Медицина и здоровье |
| Размеры | 60x90/8 |
| Страниц | 740 |
| Тематика | Другие отрасли медицины |
| Тип обложки | твердая |
| Тираж | 1000 |
| Формат | 225x300мм |
| Язык издания | rus |
Где купить (1)
Цена от 3250 руб до 3250 руб в 1 магазине
Также рекомендуем ознакомиться с ценами на Яндекс.Маркет.
Похожие предложения вы можете найти в нашей подборке:
Книги: Внутренние болезни. Диагностика - издательство "Практическая медицина"
Книги: Внутренние болезни. Диагностика с ценой 2600-3900 р.
| Магазин | Цена | Наличие |
|---|---|---|
| ЛитРес 5/5 | обновлено 29.10.2025 | |
| Avito 5/5 | Avito доставка позволит получить любой товар, не выходя из дома Промокоды на скидку | |
| Магазин | Последняя известная цена | Обновлено |
|---|---|---|
| Лабиринт | 9751 | 13.08.2024 |
| book24 | 11456 | 11.10.2024 |
| Мегамаркет | 9344 | 24.12.2024 |
| Яндекс.Маркет | 7225 | 27.06.2024 |
| МАЙШОП | 5915 | 23.06.2024 |
Кэшбэк сервис СкидкаГИД
На сегодняшний день товар «Книга: Тонкоигольная аспирационная биопсия. Цитологический атлас (Домански Х. А., Акерман Манс, Домански Анна); Ballantine Books, 2022» можно купить с кешбеком в 1 магазине: ЛитРес
Кэшбэк – это возврат части денег, потраченных Вами в интернет-магазинах. Всего на нашем сайте более 500 магазинов, с многими из которых Вы наверняка уже знакомы. У каждого магазина свои условия. Кто-то возвращает процент от покупки, а кто-то фиксированную сумму.
Заказывайте он-лайн и получайте часть денег обратно, подробнее..
Книги: Внутренние болезни. Диагностика - издательство "Практическая медицина"
Другие отрасли медицины - издательство "Практическая медицина" »
Книги: Внутренние болезни. Диагностика
Категория 2600 р. - 3900 р.



